濂藉績鑸掑啝蹇冪梾绠″鏄竴娆句笓涓氱殑鍖荤枟鍋ュ悍鎵嬫満搴旂敤锛屽畠鏄浗鍐呯涓娆句笓闂ㄩ拡瀵瑰啝蹇冪梾鎮h呯殑鎵嬫満搴旂敤锛屼笉浠呮敮鎸佸湪绾垮挩璇㈠姛鑳斤紝鑰屼笖杩樻湁鍚嶅尰棰勭害灏辫瘖鍔熻兘锛岃兘澶熷鐢ㄦ埛杩涜24灏忔椂鍏ㄧ▼鐩戞帶锛岀湡姝d负鎮h呯殑韬綋鍋ュ悍璐熻矗锛
濂藉績鑸掑啝蹇冪梾绠″鏄浗鍐呴娆句负鍐犲績鐥呮偅鑰呰璁$殑鎵嬫満搴旂敤锛屽畠鎷ユ湁娴烽噺鐨勪汉姘旓紝涓嶄粎鍙互鍦ㄧ嚎鍚戝悇绉嶄笓瀹惰繘琛屽仴搴峰挩璇紝瀹冩洿鏀寔鍦ㄧ嚎闂瓟銆佸仴搴锋。妗堢鐞嗐佽繙绋嬩細璇婄瓑鍔熻兘锛岀湡姝f槸鍐犲績鐥呮偅鑰呭彲闈犵殑鎵嬫満搴旂敤锛
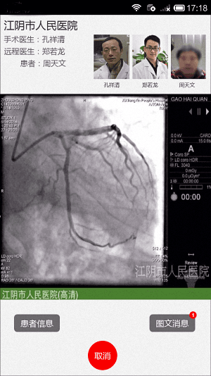
濂藉績鑸掑啝蹇冪梾绠″鏄洰鍓嶅浗鍐呴拡瀵瑰啝蹇冪梾鎮h呰璁$殑绉诲姩鍖荤枟鏈嶅姟骞冲彴銆
涓撲笟楂樻晥鐨勬湇鍔″搧璐紝蹇冭绠¢鍩熶笓瀹舵帹鑽愶紝鍐犲績鐥呮偅鑰呯殑閫夋嫨銆
鍏ㄥ浗鍩轰簬鍐犲績鐥呮參鐥呭彂灞曞懆鏈熺鐞嗙殑“涓绔欏紡”鍖荤枟鏈嶅姟骞冲彴銆
銆愬湪绾块棶绛斻戝績琛绠″唴绉戜笓涓氫笓瀹讹紝24灏忔椂鍏嶈垂鎻愪緵鍦ㄧ嚎鍜ㄨ銆佺敤鑽寚瀵肩瓑鏈嶅姟銆
銆愯繙绋嬩細璇娿戦绾﹀叕绔嬩笁鐢插尰闄㈢煡鍚嶅績鍐呬笓瀹讹紝涓庢偅鑰呭綋鍦版墜鏈尰鐢熶竴鍚屼负鎮h呰繘琛岃繙绋嬩細璇婏紝鍦ㄧ嚎瀹屾垚鐥呮儏鍒嗘瀽璇婃柇銆佹不鐤楁柟妗堝埗瀹氾紝鏈腑鎸囧绛夈
銆愪竴瀵逛竴鍜ㄨ銆戜笌淇¤禆鐨勫績鍐呬笓瀹跺缓绔嬩竴瀵逛竴鍋ュ悍鏈嶅姟鍏崇郴锛屼笓瀹朵綔鍑虹浉搴旂殑骞查鎸囧锛屽叏闈㈡彁鍗囧啝蹇冪梾鎮h呯敓娲昏川閲忋
銆愭參鐥呯鐞嗐戜韩鍙楀浜哄仴搴锋。妗堢鐞嗐佺敤鑽鐞嗐佸鏌ユ彁閱掋佸父鐢ㄨ嵂鍝佹煡璇€佺梾鎯呰嚜娴嬬瓑澶氶」鏈嶅姟锛涗笓涓氬尰鐤楄儗鏅鏈嶅洟闃燂紝鍏ㄩ潰鍏虫淇濋殰鎮h呫
銆愰绾﹁浆璇娿戦绾﹀叕绔嬩笁鐢插尰闄㈠悕鍖伙紝鍦ㄦ寚瀹氭椂闂村墠寰杞瘖鍖婚櫌锛屾墍绾︿笓瀹朵翰鑷负鎮ㄩ棶璇婄梾鎯咃紝鍒跺畾娌荤枟鏂规銆
鍐犲績鐥呯瀹舵槸涓娆鹃拡瀵瑰啝蹇冪梾鎮h呰岃璁$殑绉诲姩鍖荤枟骞冲彴锛屼簬鍘诲勾5鏈8鏃ユ寮忎笂绾垮悇澶у簲鐢ㄥ競鍦恒傚湪姝e紡涓婄嚎杩愯惀浠呬竴鍛ㄧ殑鏃堕棿閲岋紝涓嬭浇閲忓凡鐮翠竾銆傞拡瀵瑰啝蹇冪梾鎮h咃紝鎻愪緵浜嗗绉嶅疄鐢ㄦу姛鑳斤紝绉佷汉涓撳灏辨槸鍏朵腑涓涓備粬鍙互涓瀵逛竴鍜ㄨ锛岄拡瀵圭敤鎴锋彁鍑虹殑闂锛屼笓瀹跺潎鍦30鍒嗛挓鍐呭洖澶嶏紝鍚岀被浜у搧鐩告瘮锛屽洖澶嶆椂闂存洿鐭紝鍥炵瓟鍐呭鏇翠赴瀵屼笓涓氥
濂藉績鑸掑啝蹇冪梾绠″鎻愪緵鐨勭浜轰笓瀹讹紝娑电洊鍐呭寰堜赴瀵岋紝鍖呮嫭鏈悗鐨勬敞鎰忎簨椤广佸仴搴烽ギ椋熴侀傞噺杩愬姩銆佸鏌ユ姤鍛婃彁閱掑強瑙h銆佽瘖鍚庨殢璁跨瓑銆傚彧瑕佹偍鍦ㄥソ蹇冭垝鍐犲績鐥呯瀹跺钩鍙版敞鍐岋紝灏卞彲浠ョ敵璇峰埌鎮ㄧ殑“绉佷汉涓撳”锛屾湁鍏冲啝蹇冪梾鐨勭浉鍏抽棶棰樺氨鍙互鍜ㄨ浠栵紝涓撳鐩稿簲鐨勪篃浼氱粰浜堝揩閫熸仮澶嶃
鍙互璇达紝閫氳繃濂藉績鑸掑啝蹇冪梾绠″锛岀敤鎴峰彲涓庝俊璧栦笓瀹跺缓绔嬩竴瀵逛竴鍋ュ悍鏈嶅姟鍏崇郴銆備笓瀹朵細鏍规嵁鐢ㄦ埛瀹氭湡涓婁紶鐨勬鏌ユ姤鍛娿佸仴搴风洃娴嬫暟鎹強鐤剧梾鐩稿叧闂鍋氬嚭鐩稿簲骞查鎸囧锛岀粰浜堟偅鑰呮纭殑鐢熸椿寤鸿锛屽府鍔╃敤鎴峰吇鎴愯壇濂界殑鐢熸椿涔犳儻锛屼互渚挎洿鍔犲叏闈㈡彁鍗囧啝蹇冪梾鎮h呯殑鐢熸椿璐ㄩ噺銆
濂藉績鑸掑啝蹇冪梾绠″鎻愪緵鐨“绉佷汉涓撳”鏈嶅姟锛屽彲浠ョ粰浜堢敤鎴疯缁嗙殑鐢熸椿鎸囧銆傚湪涓庡啝蹇冪梾鎮h呯殑浜ゆ祦涓紝铏界劧鏈“涔呯梾鎴愬尰”涓璇达紝浣嗘槸闈㈠鐢ㄨ嵂銆佽兏鐥涘彉鍖栫瓑涓撲笟鎬х殑闂锛屽ぇ澶氭暟鐥呬汉杩樻槸涓嶄簡瑙e浣曞簲瀵瑰彉鍖栥傝屽ソ蹇冭垝鍐犲績鐥呯瀹舵彁渚涚殑骞冲彴锛屾垨鑰呰鎻愪緵鐨勪笓瀹惰祫婧愶紝鍒欏彲浠ユ湁鏁堥伩鍏嶄笂杩伴棶棰樼殑鍑虹幇銆
鍐犲績鐥呯瀹讹紝鍙互璁╂偅鑰呰В鍐崇敓娲讳腑鐨勫洶鎵帮紝杩滅鐤剧梾鐨勫洶鎭笺傜洰鍓嶅啝蹇冪梾绠″宸茬粡鍦ㄥ悇澶у簲鐢ㄥ競鍦轰笂绾裤
1銆佺郴缁熺ǔ瀹氭ф洿鏂帮紝BUG淇锛屽畬鍠勬満鍨嬮厤瀵癸紱
2銆佺郴缁熷姛鑳戒紭鍖栵紝鍑忓皯鍗¢】鎰燂紱
3銆佷紭鍖栨敞鍐屾祦绋嬶紝绠鍖栨敞鍐屾楠ゃ



评论 ( 已有 0 人参与评论)